옥스치과의원 지도 이미지

옥스치과의원 110명이 열람하였으며, 0개의 리뷰가 있습니다.

번호
29,667
개방서비스명
의원
개방서비스아이디
01_01_02_P
개방자치단체코드
3,220,000
관리번호
PHMA120113220033041100095
인허가일자
2011-04-21
영업상태구분코드
1
영업상태명
영업/정상
상세영업상태코드
13
상세영업상태명
영업중
소재지전화
-555-6633
도로명전체주소
서울특별시 강남구 테헤란로 105 (역삼동, 강남A타워 7층)
도로명우편번호
6,134
사업장명
옥스치과의원
최종수정시점
2024-08-19 13:37:43
데이터갱신구분
U
데이터갱신일자
2024-08-21 02:40:00
업태구분명
치과의원
좌표정보x(epsg5174)
127
좌표정보y(epsg5174)
37
의료기관종별명
치과의원
의료인수
1
입원실수
0
병상수
0
총면적
319
진료과목내용
412 404
진료과목내용명
치과교정과, 통합치의학과
구급차특수
0
구급차일반
0
허가병상수
0
홈페이지 주소
http://www.oaksdental.kr/
전화번호
02-555-6633

주변 병원

서울페이스21치과병원

서울특별시 강남구 역삼동 825 미진프라자 21층

'옥스치과의원'에서 0.09km

바로가기

선한목자병원

서울특별시 강남구 역삼동 642번지 7호 2층,3층일부

'옥스치과의원'에서 0.74km

바로가기

자이비뇨의학과병원

서울특별시 서초구 서초동 1302-2 대지스포츠프라자

'옥스치과의원'에서 0.75km

바로가기

라이브치과병원

'옥스치과의원'에서 0.79km

바로가기

광덕안정한방병원

서울특별시 서초구 서초동 1338-21 코리아비지니스센타

'옥스치과의원'에서 0.91km

바로가기

유디치과병원

서울특별시 서초구 서초동 1338-21 코리아비지니스센타

'옥스치과의원'에서 0.91km

바로가기

모커리한방병원

서울특별시 서초구 서초동 1677번지 8호 프로비스타

'옥스치과의원'에서 0.97km

바로가기

김정수여러분병원

'옥스치과의원'에서 1.02km

바로가기

차의과학대학교 강남차병원

서울특별시 강남구 역삼동 650-9 강남차병원

'옥스치과의원'에서 1.06km

바로가기

고도일병원

서울특별시 서초구 반포동 736번지 9호 지하4층~9층/반포동 735-26 외1(지1층,2~4층)

'옥스치과의원'에서 1.06km

바로가기

강남제이에스병원

서울특별시 강남구 도곡동 942-3 제이에스빌딩

'옥스치과의원'에서 1.07km

바로가기

힘찬큐한방병원

서울특별시 강남구 논현동 235-11 센트럴타워

'옥스치과의원'에서 1.21km

바로가기

주변 의료 유사업

킹안마시술소

서울특별시 강남구 역삼동 649번지 9호

'옥스치과의원'에서 0.13km

바로가기

참손길지압힐링센터강남안마원

서울특별시 서초구 서초동 1317-11 강남 누드죤빌딩

'옥스치과의원'에서 0.2km

바로가기

더 가인안마시술소

서울특별시 강남구 역삼동 826번지 8호 1~4층

'옥스치과의원'에서 0.31km

바로가기

강남안마나라

서울특별시 서초구 서초동 1330번지 16호

'옥스치과의원'에서 0.55km

바로가기

오뚝이안마시술소

서울특별시 강남구 역삼동 736번지 20호 1~4층

'옥스치과의원'에서 0.55km

바로가기

스페셜안마시술소

서울특별시 강남구 역삼동 832번지 29호 금성빌딩

'옥스치과의원'에서 0.75km

바로가기

중앙건강안마원

서울특별시 서초구 서초동 1638번지 11호 3층

'옥스치과의원'에서 0.91km

바로가기

플러스 안마시술소

서울특별시 강남구 역삼동 659-1

'옥스치과의원'에서 0.99km

바로가기

골드안마시술소

서울특별시 강남구 역삼동 838번지 6호 1층~4층

'옥스치과의원'에서 1km

바로가기

모어안마시술소

서울특별시 강남구 역삼동 678번지 7호

'옥스치과의원'에서 1.01km

바로가기

힐링캠프훈풀어드림안마원

서울특별시 서초구 서초4동 1691번지 1호 5층

'옥스치과의원'에서 1.23km

바로가기

하나안마원

서울특별시 강남구 역삼동 781번지 37호 202호

'옥스치과의원'에서 1.23km

바로가기

주변 의료법인

의료법인세원의료재단

서울특별시 강남구 역삼동 606번지 13호

'옥스치과의원'에서 0.97km

바로가기

의료법인성광의료재단

서울특별시 강남구 역삼1동 650번지 9호

'옥스치과의원'에서 1.06km

바로가기

의료법인 길인의료재단

서울특별시 서초구 잠원동 38번지 25호

'옥스치과의원'에서 1.57km

바로가기

의료법인 삼광의료재단

서울특별시 서초구 양재동 9번지 60호 삼광빌딩

'옥스치과의원'에서 2.03km

바로가기

의료법인 부원의료재단

서울특별시 서초구 서초동 1485번지 17호

'옥스치과의원'에서 2.42km

바로가기

의료법인미래의료재단

'옥스치과의원'에서 2.88km

바로가기

의료법인 청해의료재단

서울특별시 서초구 방배1동 896번지 1호

'옥스치과의원'에서 3.19km

바로가기

의료법인 가산의료재단

서울특별시 강남구 삼성1동 161번지

'옥스치과의원'에서 3.44km

바로가기

의료법인 혜민재단

서울특별시 광진구 자양동 627번지 3호

'옥스치과의원'에서 6.32km

바로가기

의료법인중앙의료재단

서울특별시 강남구 자곡동 633 S-플라자 3층 303호

'옥스치과의원'에서 6.58km

바로가기

사단법인 한국노동협회

서울특별시 용산구 갈월동 85번지 3호 남영빌딩206호

'옥스치과의원'에서 7.15km

바로가기

의료법인 구봉의료재단

서울특별시 성동구 도선동 365-3

'옥스치과의원'에서 7.29km

바로가기

주변 약국

에이타워약국

서울특별시 강남구 역삼동 822번지 1호 1층

'옥스치과의원'에서 0km

바로가기

뉴욕약국

서울특별시 강남구 역삼동 822번지 2호 1층 일부

'옥스치과의원'에서 0.01km

바로가기

유니팜서울약국

서울특별시 강남구 역삼동 822번지 4호 1층

'옥스치과의원'에서 0.05km

바로가기

강남스퀘어약국

서울특별시 강남구 역삼동 821 이즈타워

'옥스치과의원'에서 0.05km

바로가기

이즈타워약국

서울특별시 강남구 역삼동 821번지 이즈타워빌딩 지하1층 103호

'옥스치과의원'에서 0.05km

바로가기

미진약국

서울특별시 강남구 역삼동 825번지 미진프라자 B1-5호

'옥스치과의원'에서 0.09km

바로가기

강남센트럴약국

서울특별시 강남구 역삼동 820-9 GLASS TOWER

'옥스치과의원'에서 0.09km

바로가기

캠브리지5층약국

서울특별시 강남구 역삼동 825번지 18호 5층 일부

'옥스치과의원'에서 0.1km

바로가기

강남썬약국

서울특별시 강남구 역삼동 825-20 강남역 센트럴 푸르지오 시티

'옥스치과의원'에서 0.13km

바로가기

강남역스타약국

서울특별시 강남구 역삼동 825번지 20호 지하1층 b106호

'옥스치과의원'에서 0.13km

바로가기

강남역 2번출구 약국

서울특별시 강남구 역삼동 825-13 강남센타빌딩

'옥스치과의원'에서 0.14km

바로가기

강남씨티약국

서울특별시 강남구 역삼동 816번지 3호 1층

'옥스치과의원'에서 0.17km

바로가기

블로그 리뷰

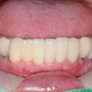
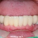
  • 옥스치과의원 | [강남 임플란트 치과 치과 의원] 옥스치과의원 강남 임플란트 치과 옥스치과의원, 친절한 치료로 인기

    그들은 스케일링이 꼼꼼하게 진행되어 만족감을 느끼고 있다고 하네요. 옥스치과의원의 친절한 진료와 깨끗한 시설은 방문하는 이들에게 편안함을 주는 요소로...이 곳이에요! 옥스치과의원 서울특별시 강남구 테헤란로 105 A타워 7층 ❤️ 방문자 후기 정보 총정리 ❤️ ​ - (키워드 데이터가 없는 장소네요 !) ​ ❤️ 따끈따끈...

    람디의 국내 일기(2025-12-21 09:10:00)

  • 옥스치과의원 | 강남구 역삼동 치과 옥스치과의원 위치 오는길 후기

    보유한 병원 입니다. 5. 외국인이 먼저 찾는 치과 입니다. (외국인이 먼저 알고 찾는 친절한 병원 입니다.) 🛠️ 편의 사항: 주차, 발렛파킹, 남/녀 화장실 구분 🍪 상품 ​ 등록된 메뉴가 없습니다. ​ 😄 방문자 후기 ​ 등록된 리뷰가 없습니다. ​ #역삼동치과 #역삼역치과 옥스치과의원 서울특별시 강남구 테헤란로 105 A타워...

    Store Diary(2025-01-15 11:24:00)

  • 옥스치과의원 | 토론토사랑치과의원 | 관악구 치과 | 내돈내산 | 충치치료

    가격비교 사이트 치과웨건 300m © NAVER Corp. 일반 위성 치료 분류 레진 하임치과의원 서울특별시 강남구 논현로98길 34 4층 (역삼동) 14933 50,000 원 옥스치과의원 서울특별시 강남구 테헤란로 105 (역삼동, 강남A타워 7층) 15375 50,000 원 믿음치과의원 서울특별시 서초구 효령로 394 203호 (서초동) 2966 50,000...

    사이다환타(2026-01-23 11:35:00)

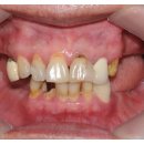
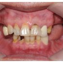
  • 옥스치과의원 | 금니가 빠졌어요 역삼옥스치과의원 치료 후기

    ㅋㅋㅋㅋ 치료 방법을 생각해봤는데 첫째, 가능하면 떨어진 금니를 다시 붙인다. 둘째, 임플란트 시술 후자일 가능성이 높을 것 같다는... 역삼옥스치과의원 역삼옥스치과의원 내부 사진이에요 귀엽게 꾸며져 있네요 예약을 해서 오래 기다리지 않고 바로 검사했어요 X-ray (엑스레이) 촬영을 해서 치아 상태를 확인...

    Ahlin's Blog☆(2016-11-05 11:38:00)

  • 옥스치과의원 | 옥스디자인(태양유통) X배너 제작 후기모음 #4. 병원 배너 홍보 기념배너

    제작후기를 소개드립니다. 🧡 ✔ 고객님 요청 사항 #개원기념 #15주년 #이비인후과 #X배너 이번 의뢰는 개원 15주년을 맞은 병원의 기념 X배너 제작이었습니다. ​ ‘오래된 신뢰’, ‘전문성’, ‘감사 인사’가 한 번에 전달되는 디자인이 핵심이었고, 특히 병원 입구에 세워졌을 때 차분하면서도 품격 있는 분위기를 주는...

    특별한 날을 위한 현수막·배너 인쇄 전문업체(2026-01-23 09:40:00)

  • 옥스치과의원 | 어금니 임플란트 가격 : 지역별 치과 가격 비교 사이트 2곳

    논현로98길 34 4층 (역삼동) 14933 50,000 원 옥스치과의원 서울특별시 강남구 테헤란로 105 (역삼동, 강남A타워 7층) 15375 50,000 원 믿음치과의원 서울특별시...사용 가능하니 상황에 맞게 활용하시면 됩니다! ​ 임플란트 비용? 미리 확인해보세요! 여기저기 후기 등 정보가 넘치는 시대이지만 유독 병원 관련 비용을...

    리리노트(2025-12-23 22:24:00)

  • 옥스치과의원 | 신사동치과 양심치과, 환자의 신뢰로 완성되는 진짜 진료

    양심치과를 고르는 현실적인 팁 ▶ 후기만 믿지 말고, 상담을 받아보세요. 인터넷 후기는 유용하지만 과장되거나 광고성일 수 있습니다. ​ ▶ 진단과 치료 계획이...고민 중이신가요? ​ 가격만 보고 선택하기보다, 오래도록 믿고 맡길 수 있는 치과인지 확인해보세요. 옥스치과의원 서울특별시 강남구 테헤란로 105 A타워...

    옥스치과(2025-09-11 12:10:00)

  • 옥스치과의원 | 옥스필드CC 코스리뷰와 옥다방

    완전 비추 1. 골프장 퀄리티 따지는 사람 2. 정말 어쩌다 시간 내서 그시간이 귀중한사람 3. 로우 핸디 고수 4. 내가 돈이 없지 가오가 없냐는 사람 서울삼성치과의원 잠실점 : 네이버 방문자리뷰 256 · 블로그리뷰 210 naver.me ​ #옥스필드CC #가성비골프장 #옥스필드코스 #옥스필드후기 #옥스코스필드코스 #옥스필드...

    이원장의 일상이야기(2025-06-25 12:19:00)

  • 옥스치과의원 | 임신 21~22주차 일기 드디어 임신 중기! 태교여행 2차 정밀 초음파

    퇴근하고 치과 가려 했는데 예약 안 하니까 대기 엄두도 안 나게 안내하시는 데스크 직원 덕분에(?) 급 엄마 호출해서 메가커피 ㅋㄷㅋㄷ 푸꾸옥에서 사다 준...여기서 보니까 꽤 괜찮잖아?;;; 만원 주고 산 것치곤 아주 쓸만해~ 장스내과의원 서울특별시 중랑구 망우로 411 장스여성병원 꿀떡이 얼굴 눈알이 너무 눈알...

    꿀떡맘의 꿀단지(2025-08-09 11:12:00)

  • 옥스치과의원 | 캐시닥 용돈 퀴즈 정답(4월 4일)

    정각사 ​ ​ [옥스치과의원] 클릭 후 [주변] 탭 내의 [맛집·카페] 카테고리에서 "ㅅㅂㄱㄴㅇㅈ"을/를 찾아 적어주세요. (띄어쓰기 없음) : 설빙강남역점 ​ ​ [서강플러스치과의원] 클릭 후 [주변] 탭 내의 [명소] 카테고리에서 "ㅎㄷㅋㄹㄱㄹ"을/를 찾아 적어주세요. (띄어쓰기 없음) : 홍대클럽거리 ​ ​ [오르성형외과의원...

    옴니시니어(부동산자산관리이야기)(2026-04-04 00:47:00)

일별 방문 통계

월별 방문 통계

날씨

리뷰 (0)

등록된 리뷰가 없습니다.